أسلوب مبتكر لمكافحة السرطان
- الجزيرة الاربعاء, 20 يوليو, 2016 - 03:00 مساءً
أسلوب مبتكر لمكافحة السرطان

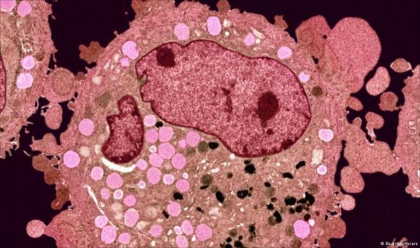
كما هو معلوم أن الحصار الشامل لأي مدينة غالبا ما يقطع عنها إمدادات التموين وترقبه بدلا من المخاطرة بالهجوم المباشر. وهذا هو ما يحلم به العديد من الأطباء باتخاذ نهج مماثل تجاه السرطان.

فالأورام بحكم أنها أنسجة سريعة النمو تحتاج إلى الغذاء أكثر من احتياج الأنسجة السليمة له، ومن ثم فإن قطع خط الإمداد هذا عنها يبدو وسيلة جيدة لقتل الخلايا الخارجة عن السيطرة. ولكن، بالرغم من منطقية الأمر نظريا، فإن هذا النهج أثبت تحديا في الممارسة العملية لأن هذا التجويع يضر بالمريض أيضا.

ومع ذلك يعتقد الباحثون بجامعة جنوب كاليفورنيا الأميركية أنهم ربما وجدوا طريقة لحل هذه المشكلة. فهم يحاولون ابتكار نظام غذائي يضعف الأورام بينما يقومون في نفس الوقت بإدخال المغذيات الحيوية خلسة للأنسجة السليمة، بما في ذلك الخلايا المناعية (كريات الدم البيضاء).

يُشار إلى أن الباحثين استخدموا طريقة التجويع هذه ضد السرطان عام 2012، وأسفرت عن انكماش الأورام في حيوانات المختبر بنسبة كبيرة.

والنظام الغذائي المشار إليه غني بـفيتامين دي والزنك والأحماض الدهنية الأساسية لأداء الخلايا المناعية، في حين أنها منخفضة في البروتينات والسكريات البسيطة التي تستخدمها الأورام.

وكشفت التجارب أن النظام الغذائي يبدو أنه يقمع إنتاج إنزيم معين في الورم، وهو ما يشجع الخلايا المناعية على التراكم. وبإضافة عقار دوكسوروبسين تتم مهاجمة الورم من ناحيتين. ويشير المزيد من البحث إلى أن هذا النهج يعمل أيضا مع الميلانوما، الشكل العدواني من سرطان الجلد. وبذلك يمكن لما يطلق عليه عقلية الحصار أن تؤتي ثمارها.


 


التعليقات